THỦ ĐOẠN MỚI NHẰM CHIẾM ĐOẠT TIỀN BẢO HIỂM NHÂN THỌ
THỦ ĐOẠN MỚI NHẰM CHIẾM ĐOẠT TIỀN BẢO HIỂM NHÂN THỌ: TỰ ĐỤC VỠ XƯƠNG KHỚP, GÂY THƯƠNG TÍCH

Đây là thủ đoạn tàn nhẫn, vô nhân tính, coi thường sức khỏe, tính mạng của con người
—–
Phòng Cảnh sát hình sự Công an tỉnh Phú Thọ đã triệt phá thành công một đường dây tự gây thương tích có tổ chức, thủ đoạn tinh vi, man rợ nhằm trục lợi bảo hiểm nhân thọ trên địa bàn tỉnh Phú Thọ.
Đối tượng Tạ Minh Châu, SN 1995, nguyên cán bộ Trung tâm Y tế huyện Cẩm Khê, là kẻ chủ mưu, cầm đầu.

Lợi dụng thời gian dài công tác trong ngành y và am hiểu sâu cấu tạo xương – khớp, cũng như cơ chế chi trả bảo hiểm đối với các thương tích gãy xương giá trị cao, Châu đã dựng lên một quy trình trục lợi bài bản, từ việc vận động mua bảo hiểm, tổ chức gây thương tích, đến hợp thức hóa hồ sơ bệnh án để chiếm đoạt tiền của các công ty bảo hiểm.
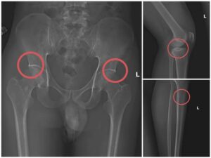
Đáng chú ý, Châu trực tiếp thực hiện hành vi tiêm thuốc mê rồi dùng kim tiêm, búa, đinh tác động vào xương người mua bảo hiểm, tạo nên các vết nứt, vỡ xương tương tự tai nạn thật. Khi thương tích đã tạo xong, Châu tiếp tục hướng dẫn các đối tượng dựng hiện trường giả như điện giật ngã, trượt chân ngã suối, nhằm hợp thức hóa bệnh án và hoàn thiện hồ sơ yêu cầu chi trả.
Châu câu kết với Nguyễn Thị Hoài Thu và nhiều đối tượng khác gồm: Nguyễn Anh Dũng, Hà Thành Đạt, Hoàng Văn Trường, Hoàng Văn Thắng, Hoàng Thị Hồng Điệp, Hoàng Thị Linh… Đây đều là những người trực tiếp tham gia mua bảo hiểm theo hướng dẫn của Châu và được Châu gây thương tích để hưởng lợi bất chính.
Với thủ đoạn trên, các đối tượng đã chiếm đoạt hơn 06 tỷ đồng từ nhiều công ty bảo hiểm nhân thọ như Manulife, AIA, Dai-ichi Life, FWD, Sun Life, Chubb Life… riêng Công ty Manulife bị chiếm đoạt 2,6 tỷ đồng.

Hiện trường các đối tượng gây mê và can thiệp xương.
Căn cứ kết quả điều tra, ngày 11/11/2025, Cơ quan CSĐT Công an tỉnh Phú Thọ đã ra Lệnh giữ người trong trường hợp khẩn cấp, Lệnh bắt người bị giữ trong trường hợp khẩn cấp đối với Tạ Minh Châu, Hoàng Văn Trường, Hoàng Văn Thắng, Hoàng Thị Hồng Điệp và Nguyễn Anh Dũng; đồng thời tạm giữ 06 đối tượng liên quan để phục vụ công tác điều tra.
Hiện Cơ quan cảnh sát điều tra Công an tỉnh đang tiếp tục điều tra mở rộng, làm rõ vai trò từng đối tượng.









